CTBP1 Antibody (C-term)
Affinity Purified Rabbit Polyclonal Antibody (Pab)
- SPECIFICATION
- CITATIONS
- PROTOCOLS
- BACKGROUND

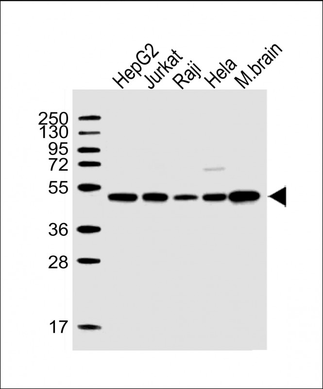
Application
| IF, WB |
|---|---|
| Primary Accession | Q13363 |
| Other Accession | NP_001319.1, NP_001012632.1 |
| Reactivity | Human, Mouse, Rat |
| Host | Rabbit |
| Clonality | Polyclonal |
| Calculated MW | H=48,46;M=48,47,40;Rat=47 KDa |
| Isotype | Rabbit IgG |
| Antigen Source | HUMAN |
| Gene ID | 1487 |
|---|---|
| Antigen Region | 413-440 aa |
| Other Names | CTBP1; CTBP; C-terminal-binding protein 1 |
| Dilution | IF~~1:10~50 WB~~1:2000 |
| Target/Specificity | This CTBP1 antibody is generated from rabbits immunized with a KLH conjugated synthetic peptide between 413-440 amino acids from the C-terminal region of human CTBP1. |
| Format | Purified polyclonal antibody supplied in PBS with 0.09% (W/V) sodium azide. This antibody is purified through a protein A column, followed by peptide affinity purification. |
| Storage | Maintain refrigerated at 2-8°C for up to 2 weeks. For long term storage store at -20°C in small aliquots to prevent freeze-thaw cycles. |
| Precautions | CTBP1 Antibody (C-term) is for research use only and not for use in diagnostic or therapeutic procedures. |
| Name | CTBP1 |
|---|---|
| Synonyms | CTBP |
| Function | Corepressor targeting diverse transcription regulators such as GLIS2 or BCL6. Has dehydrogenase activity. Involved in controlling the equilibrium between tubular and stacked structures in the Golgi complex. Functions in brown adipose tissue (BAT) differentiation. |
| Cellular Location | Cytoplasm. Nucleus |
| Tissue Location | Expressed in germinal center B-cells. |

Thousands of laboratories across the world have published research that depended on the performance of antibodies from Abcepta to advance their research. Check out links to articles that cite our products in major peer-reviewed journals, organized by research category.
info@abcepta.com, and receive a free "I Love Antibodies" mug.
Provided below are standard protocols that you may find useful for product applications.
Background
This gene encodes a protein that binds to the C-terminus of adenovirus E1A proteins. This phosphoprotein is a transcriptional repressor and may play a role during cellular proliferation. This protein and the product of a second closely related gene, CTBP2, can dimerize. Both proteins can also interact with a polycomb group protein complex which participates in regulation of gene expression during development. Alternative splicing of transcripts from this gene results in multiple transcript variants.
References
Roukens, M.G., et al. Nat. Cell Biol. 12(10):933-942(2010)
Choi, H.J., et al. Biochem. Biophys. Res. Commun. 400(3):396-402(2010)
Merrill, J.C., et al. J. Mol. Biol. 398(5):657-671(2010)
Davila, S., et al. Genes Immun. 11(3):232-238(2010)
Yoshida, T., et al. Int. J. Mol. Med. 25(4):649-656(2010)
If you have used an Abcepta product and would like to share how it has performed, please click on the "Submit Review" button and provide the requested information. Our staff will examine and post your review and contact you if needed.
If you have any additional inquiries please email technical services at tech@abcepta.com.





Foundational characteristics of cancer include proliferation, angiogenesis, migration, evasion of apoptosis, and cellular immortality. Find key markers for these cellular processes and antibodies to detect them.
The SUMOplot™ Analysis Program predicts and scores sumoylation sites in your protein. SUMOylation is a post-translational modification involved in various cellular processes, such as nuclear-cytosolic transport, transcriptional regulation, apoptosis, protein stability, response to stress, and progression through the cell cycle.
The Autophagy Receptor Motif Plotter predicts and scores autophagy receptor binding sites in your protein. Identifying proteins connected to this pathway is critical to understanding the role of autophagy in physiological as well as pathological processes such as development, differentiation, neurodegenerative diseases, stress, infection, and cancer.





